안녕하세요, 서울큰나무치과입니다
.
Q. 아무리 양치를 열심히 해도 닦이지 않는 부분이 있으신가요?
있으시다면, 바로 그 부분은 스케일링을 통해서 해결할 수 있습니다:) 1년에 한 번씩은 정기적으로 스케일링과 정기검진을 통해 관리해 주셔야 건강하고 깨끗한 치아를 만들어갈 수 있는데요.
치석이 많지 않다면 간단한 스케일링으로 끝날 수 있지만, 치석이 많은 경우, 치아뿐만 아니라, 잇몸 안쪽까지 치석이 쌓일 수가 있습니다. 이 같은 경우는 추가적인 잇몸치료를 통해 치석을 제거하여야 합니다.
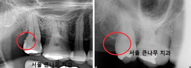
사례로 보는 치료 과정
잇몸치료는 기존 스케일링과 다르게 마취를 시행합니다. 마취는 부분적으로 나누어 시행하게 되며, 마취는 더욱 세밀하고 꼼꼼하게 깊숙하게 쌓인 치석을 제거하기 위해 시행됩니다.
서울큰나무치과에 방문해 주신 60대 환자분입니다.
위 사진에서 보시듯이 치아 사이가 잘 닦이지 않아 전체적으로 치태와 치석이 쌓인 모습입니다.
먼저, 치석제거를 진행했습니다. 눈에 보이는 치석은 다 제거하였지만 눈에 보이지 않는 치석은 남아 있었습니다. 사진에 오돌토돌하게 남아있는 치석의 모습을 확인할 수 있었고, 잇몸치료 후 완전히 제거하였습니다.
마찬가지로 치아 뿌리에 자리 잡고 있는 치석을 제거하였습니다. 스케일링만으로는 제거되지 않는 치석입니다.
좁고 깊은 부분은 칫솔이 잘 닿지 않아 음식물이 잘 끼기 쉬운 환경입니다. 치아 사이에 공간이 큰 부분일수록 치간칫솔을 이용하여 깨끗하게 관리해 주셔야 합니다.
Q. 치석을 제거하지 않고 방치하게 된다면?
치석을 방치하면 이는 잇몸 질환의 원인이 됩니다.
•
잇몸이 붓고 잇몸 색이 붉게 변합니다.
•
양치질을 할 때 잇몸에서 출혈이 일어납니다.
•
입 냄새가 심하고 고름이 생깁니다.
•
잇몸 라인이 점차 내려앉습니다.
•
잇몸이 약해져서 치아가 점점 흔들립니다.
•
잇몸을 건드렸을 때 통증이 느껴집니다.
Q. 잇몸질환 예방법은?
잇몸질환을 예방하기 위한 가장 기본적인 방법은 양치질입니다. 식사 후 바로 양치하는 습관과 꼼꼼한 양치질은 가장 쉽고 효율적인 예방법이랍니다:)
또한, 치실과 치간칫솔을 사용하는 습관도 중요합니다. 어떻게 관리하느냐에 따라 치아의 수명은 달라지기 때문에 소중한 치아를 위해서 적극적으로 관심을 가져야 합니다. 또한, 정기적으로 치과에 방문하여 검진과 관리받을 것을 추천드립니다.
다음에도 유용한 치과이야기로 찾아뵙겠습니다. 이상 서울큰나무치과였습니다
.
저희 서울큰나무치과는 동묘앞역에서 5분 거리에 위치한 치과입니다. 숭인동, 창신동, 동묘앞역 치과를 찾고 계시다면 저희 서울큰나무치과에 많은 방문 부탁드리며, 저희 치과에서 건강한 치아 유지 및 만들어나가시길 바랍니다.
*서울큰나무치과는 네이버 예약을 통해서도 언제든지 예약 가능합니다.






