안녕하세요, 서울큰나무치과입니다
.
변덕스러운 날씨를 지나 여름이 성큼 다가왔는데요. 다가온 계절처럼 우리의 마음에도 새롭게 시작하기를 바라며 서울 큰나무치과의 새로운 진료이야기를 업데이트해보겠습니다.
이가 상실되었을 때는 어떻게 하나요?
기술이 발전함에 따라 이가 상실되어도 다양한 방법으로 수복이 가능합니다. 이가 빠진 부위에 임플란트를 심거나 부분틀니를 사용하여 치아의 씹는 기능을 회복시켜 주기도 합니다. 거기에 보험 혜택까지 더해진다면 일석이조의 놓칠 수 없는 기회겠죠!
만 65세 이상은 평생 임플란트 2개와
부분틀니, 완전틀니까지 모두 보험 적용이 되기 때문에
놓치지 말고 혜택을 누려보시기 바랍니다!
틀니 제작 후 입안에서 적응 기간이 필요하기 때문에 새신을 신은 것처럼 불편하실 수밖에 없는데요. 지속적인 관리와 내원을 통해 구강환경에 알맞은 상태로 맞춰나가실 수 있습니다.
또한, 틀니 제작 기간이 한참 지난 후에도 나라에서 유상 유지관리 보험 혜택이 주어지기 때문에 보험 적용하여 수리도 가능합니다
사례로 보는 치료 과정
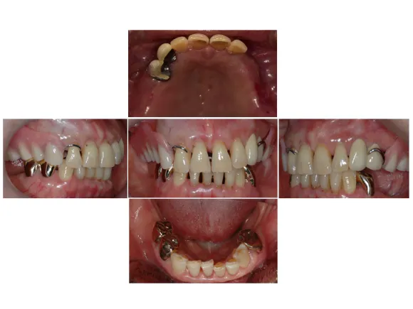
서울 큰나무 치과에 방문해 주신 70대 여성 환자의 케이스를 보겠습니다.
이 환자분의 경우, 5년 전에 위아래 모두 보험 틀니를 제작하셨지만 불편하여 잘 끼지 않는 상태셨고, 오른쪽 위에 이가 부러져 뿌리밖에 남지 않은 상태였습니다.
오른쪽 치아를 발치해 주었고, 기존에 사용하던 틀니를 이용하여 이가 빠진 부분에 인공치를 만들어주었습니다.
특히, 나라에서 지원하는 보험 혜택이기에 많은 부담 없이 틀니 수리가 가능하였습니다.
아랫부분의 경우에는 틀니 대신 임플란트를 심어 보충하였습니다.
양쪽 두 개씩 임플란트가 들어가게 되었고 임플란트 2개는 건강보험 혜택이 적용되기 때문에 비용이 절감되어 합리적인 가격에 진행하실 수 있었습니다.
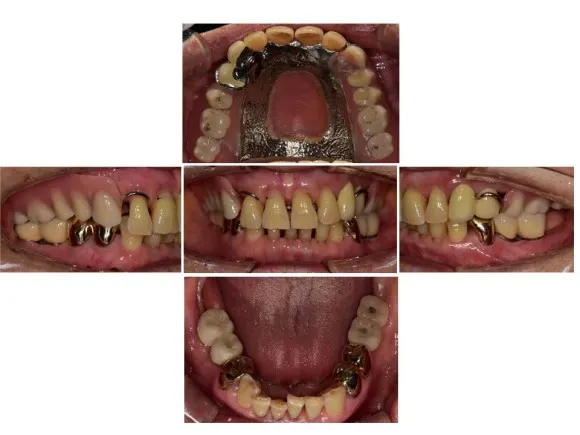
2달의 시간이 지난 후 본격적인 보철이 들어가게 됩니다.
임플란트 기둥과 보철을 연결해 주는 나사를 연결해 주었습니다.
연결해 주는 나사를 지대주라고 부르는데요, 개인의 구강상태에 맞춰 제작이 가능합니다. 잇몸선에 맞춰서 만들어지기 때문에 맞춤지대주를 사용하여 제작될 경우, 보철이 더욱 편안하게 들어가게 됩니다.
최종적으로 보철까지 들어간 모습입니다.
전후 사진으로 비교해보겠습니다.
전
후
상악(위턱)의 틀니도 수리하여 편안하게 사용할 수 있게 되었고, 하악(아래턱) 또한 네 개의 임플란트로 인해 어금니 없이 생활하시던 예전 모습에 비해 저작 기능을 회복하여 훨씬 높은 만족감을 느끼실 수 있었습니다.
두 달여간의 오랜 제작 기간을 거쳤지만 그 시간들이 전혀 아깝지 않은 과정이었습니다. 임플란트와 틀니가 완성된 후에도 지속적인 유지관리가 들어가기 때문에 수리할 일이 있어도 걱정 없이 맡길 수 있습니다.










