안녕하세요, 서울큰나무치과입니다.
기술이 발전함에 따라 이가 상실되어도 다양한 방법으로 수복이 가능한데요. 틀니를 해야 될 정도의 상태라면 필요에 따라 2~3개 정도의 임플란트를 심어주고 수복된 임플란트 치아 위에 틀니를 사용하기도 합니다.
오늘은 임플란트를 이용한 부분틀니에 대해 이야기를 해볼까 하는데요, 그중 부분틀니를 하게 되면 어떻게 탈 부착을 하는지 어떠한 형태로 제작이 되는지를 중점으로 살펴보겠습니다.
사례로 보는 치료 과정
서울큰나무치과에 내원하셨던 67세 여성분 사례입니다.
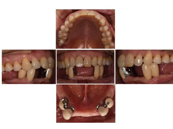
이 환자분의 경우, 위턱의 경우 치료한 치아도 많이 없고 연세에 비해 건강한 것에 비해 아래턱은 단 두 개의 치아에 의존하여 틀니를 사용하고 계셨고 그마저도 이가 부러짐에 따라 기존 틀니를 사용할 수 없게 되었습니다.
65세 이상은 보험 임플란트 2개가 적용되기에 임플란트 총 3개를 식립하였지만 2개의 보험 적용으로 경제적인 부담을 많이 줄일 수 있었습니다.
임플란트 식립 후 기다리는 두 달여의 기간 동안 아래턱에 하나 남은 이는 심미성과 기능성을 위해 PFM 크라운으로 교체해 주었습니다. 또한, 두 달여간의 기간 동안 틈틈이 보험 적용이 되는 부분틀니 제작에 들어갔기 때문에, 임플란트 크라운을 씌어주는 기간에 맞춰 오래 기다리지 않고 틀니 제작을 완성할 수 있었습니다.
틀니의 지대치가 되는 보철물은 틀니에 맞춰 홈을 생성하여 제작됩니다. 이렇게 움푹 파인 부분은 부분 틀니의 고정력을 주어 틀니의 탈 부착을 용이하게 도와줍니다.
전후 사진으로 비교해보겠습니다.
부분틀니 장착 전
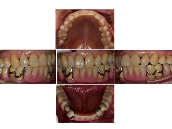
부분틀니 장착 후
완성하였지만 이렇게 웃을 때 고리가 보이게 되어 심미성을 위해 한 번 더 제작하게 되었습니다.
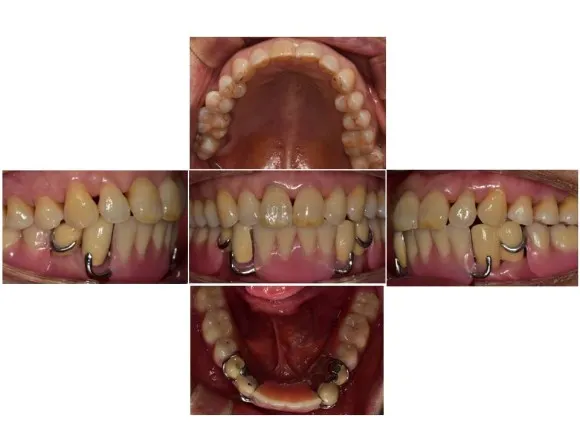
부분틀니 장착 후 / 틀니 고리 내리기 전
부분틀니 장착 후 / 틀니 고리 내린 후
최종으로 마무리된 후 사진입니다.
웃을 때 보이던 고리가 사라져 웃었을 때 깨끗한 모습으로 수정되었습니다.
환자분도 저희도 모두 만족스러운 모습으로 완성되었습니다 
이처럼 오랜 시간에 걸쳐 완성되는 틀니이지만 최종적으로 만족스럽지 않을 경우, 환자분과의 상의하에 수정할 수 있습니다. 개개인의 구강상태는 다양하기에 기존의 틀에서 조금씩 달라질 수 있기 때문입니다.
서울큰나무치과는 환자분이 충분히 만족스러운 결과를 느낄 수 있도록 환자분과의 충분한 상담과 소통을 통해 제작합니다 . 또한, 틀니 제작 이후에도 지속적인 관리와 65세 이상 환자분이시라면 보험을 통한 수리도 가능하기 때문에 불편함이 있어도 언제든 해결 가능합니다.
언제나 최선을 다하는 큰나무 치과였습니다
. 감사합니다.













