안녕하세요, 서울큰나무치과입니다.
"잇몸뼈가 약한데 임플란트를 할 수 있을까요..?"
흔들리고 안 좋은 치아를 계속 방치하면 어떻게 될까요? 잇몸뼈가 약해져 치아를 더 이상 지지할 수 없는 경우 치아가 흔들리게 되는 것인데요. 대개 이런 경우는 잇몸 염증으로 인하여 잇몸뼈가 물렁한 상태이며, 그에 따라 잇몸뼈가 많이 소실된 상태로 보이는 경우입니다. 임플란트만 식립할 수 없고 보통은 뼈이식과 함께 진행하는 경우가 많습니다.
사례로 보는 치료 과정
사진으로 살펴보겠습니다. 서울큰나무치과에 방문해 주신 40대 초반 여성 환자분입니다.
치료전 파노라마 엑스레이 사진
위의 치아의 경우 상악동이라는 공기주머니 구조물이 있어 상악동을 들어 올려 뼈를 보강해 주는 상악동 거상술 골이식 수술을 같이 병행하게 됩니다. 치료전에는 상악 치조골이 불과 1-2mm 밖에 없을 정도로 매우 얇은 상태였지만, 상악동 골이식술을 통해 골높이를 보상하여 임플란트를 식립하였습니다. 이러한 경우 대개 4-6개월 정도 소요되며, 기다리는 동안 환자분의 협조도가 매우 중요합니다.
아래 치아의 경우 임플란트를 식립하면서 치조골 이식술을 같이 병행하게 됩니다. 아래턱은 잇몸뼈가 약해지면 신경과의 거리가 가까워지는 경우가 많기 때문에 치아 발치 후 오래동안 방치되는 경우 임플란트 식립이 매우 힘들어지거나 신경 손상 우려가 있습니다.
치료후 파노라마 엑스레이 사진
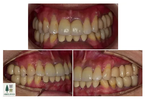
치료 전후 비교사진입니다
.
치료 전
치료 후
위턱 임플란트의 경우, 1-2mm 밖에 없을 정도로 매우 얇았던 상악 치조골이 상악동 거상을 이용한 골이식을 통해 치조골량이 많아진 모습이 보이시나요? 
아래턱 임플란트의 경우, 잇몸뼈가 많이 주저앉아 신경관(보라색선)과 매우 가까워져 있었으나, 하악골 치조골 이식술을 통해 잇몸뼈를 만들어주고 짧은 임플란트를 식립하여 양쪽 모두 골고루 잘 씹을 수 있게 해드렸습니다.
이처럼 너무 늦은 타이밍에 치과를 방문하게 된다면 임플란트 식립은 가능하지만 많은 비용과 시간을 함께 들여야 하기 때문에 되도록이면 가능한 한 빨리 내원하시기를 추천드립니다. 서울큰나무치과에서는 CBCT를 통해 정확하게 분석 및 진단하여 디지털 내비게이션 임플란트 수술을 도입하여 안전하고 정확한 시술을 진행하고 있습니다.
이상 서울큰나무치과였습니다
.
저희 서울큰나무치과는 동묘앞역에서 5분 거리에 위치한 치과입니다. 숭인동, 창신동, 동묘앞역 치과를 찾고 계시다면 저희 서울큰나무치과에 많은 방문 부탁드리며, 저희 치과에서 건강한 치아 유지 및 만들어나가시길 바랍니다.
*서울큰나무치과는 네이버 예약을 통해서도 언제든지 예약 가능합니다.







